Entre las causas para realizar una destacamos las siguientes:
- Lumbago que no mejora después del tratamiento.
- Debilidad, entumecimiento u otros síntomas en la pierna que no mejoran o que empeoran.
- Dolor de espalda y fiebre.
- Defectos congénitos de la columna lumbar.
- Esclerosis múltiple.
- Hernia de disco.
- Lumbago y antecedentes de cáncer.
- Lesión o trauma a la columna lumbar.
- Problemas para controlar o vaciar la vejiga.

Una resonancia magnética cervical utiliza energía de imanes potentes para crear imágenes de la parte de la columna que pasa a través de la zona del cuello.
Las razones más comunes para realizar este examen son:
- Dolor intenso en el cuello, el hombro o en el brazo que no mejora después del tratamiento.
- Dolor en el cuello junto con debilidad en la pierna, entumecimiento u otros síntomas.
Una resonancia magnética cervical también se puede hacer para:
- Defectos congénitos de la columna vertebral.
- Infección que involucra la columna vertebral.
- Lesión o traumatismo en la columna vertebral.
- Esclerosis múltiple.
- Escoliosis grave.
- Tumor o cáncer en la columna vertebral.
- Artritis en la columna vertebral.

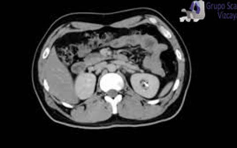
Una resonancia magnética en el abdomen incluye el área del estómago y el torso, y sirve para poder apreciar diferentes órganos, como el estómago, los intestinos, el páncreas, la vesícula, el hígado y el bazo.
Un examen sirve para diagnosticar cualquiera de los siguientes padecimientos en el abdomen:
- Tumores o abultamientos.
- Cáncer: El cáncer es una de las enfermedades que se diagnostican certeramente con una RMN.
- Infecciones.
- Piedras.
- Problemas en vasos sanguíneos: cuando tus vasos sanguíneos son muy anchos o muy estrechos, tienen bloqueos o están dañados, te pueden ocasionar serios problemas de salud.
- Defectos de nacimiento: una RMN puede mostrar los problemas que se desarrollaron antes o durante el nacimiento, como tener sólo un riñón en lugar de dos.
- Insuficiencia renal.
Aunque la sintomatología dependerá de la enfermedad que padezcas, ciertas señales pueden indicar la necesidad de realizarte un examen de resonancia magnética. Por ejemplo:
- Dolor abdominal.
- Pérdida de peso no intencional.
- Sangre en la orina.
- Hinchazón en el abdomen.
- Fiebre.

La Resonancia Magnética Craneal, Es un método no invasivo para crear imágenes detalladas del cerebro y tejidos nerviosos circundantes.

Las resonancias magnéticas en mamas se pueden combinar con mamografías o ecografías, sin embargo no se pueden utilizar como sustitución de la mamografía.
Los motivos más frecuentes por los que se suele solicitar el estudio de las mamas.
- El estudio se emplea como método de evaluación en mujeres con alto riesgo de cáncer de mama por antecedentes de la enfermedad en su historial familiar.
- Luego que una paciente es diagnosticada con cáncer de seno, el estudio de RM ayuda a determinar la extensión. Si involucra músculo subyacente o si hay otros cánceres en el mismo seno o cáncer insospechado en el seno opuesto.
- El método de RM también sirve para determinar si existe algún ganglio linfático anormalmente largo en la axila que podría indicar que el cáncer se ha diseminado hacia este sitio.
- Evaluación más detallada de anormalidades observadas en la mamografía o ultrasonografía de mamas que son difíciles de analizar.
- Las cicatrices y el cáncer recurrente pueden verse idénticos en una mamografía o en un ultrasonido. Si hay cambios en la cicatriz de una lumpectomía, la RM puede ayudar a determinar si el cambio es debido a la maduración normal de la cicatriz o a una recurrencia del cáncer.
- El cáncer de mama será tratado con quimioterapia neoadyuvante antes de que sea removido por cirugía. En estos casos, la RM se usa a menudo para monitorear cuán bien la quimioterapia está funcionando, y para reevaluar la cantidad de tumor que todavía está presente antes de que se realice la cirugía.
- La RM es el mejor examen para evaluación de implantes.

La Resonancia magnética de hombro está indicada en pacientes con lesiones traumáticas, dolores inespecíficos, distensiones, hematomas e infecciones. Puede dar imágenes de desgarros muy pequeños, lesiones tendinosas, ligamentos y músculos, y hasta algunas fracturas que no se pueden ver en la radiografía simple. Además, puede dar una imagen clara de trastornos degenerativos, artritis y deterioro de las superficies articulares.
Las indicaciones de la RM del hombro, aunque no se limitan a estas, son las siguientes:
- Anomalías de los rotatorios: supraespinoso, infraespinoso, tendinopatía y tendinitis, trastornos de la porción larga del bíceps braquial: tendinopatía, tendinitis, subluxación y luxación.
- Enfermedades que afectan el espacio subacromial supraespinoso: hueso acromial, bursitis subacromial, desorden de la articulación acromio clavicular.
- Anomalías del lábrum: quistes, degeneración, fracturas, incluyendo el lábrum superior, antero posterior y lesión de Bankart y sus variantes.
- Desórdenes musculares que afecten a la articulación del hombro: atrofia, hipertrofia, denervación, masas.
- Alteraciones osteocondrales y del cartílago articular de la articulación glenohumeral: fractura osteocondral, osteocondritis disecante, condrosis degenerativa, condromalacia, fisura condral, fracturas, atropamientos
- Cuerpos libres: condral, osteocondral, óseos.
- Enfermedad sinovial: sinovitis, bursitis, neoplasia, anomalías de la médula: necrosis vascular, edema y reactuar de estrés.
- Neoplasia de hueso y partes blandas de la articulación.
- Infecciones de hueso y partes blandas de la articulación.
- Enfermedades congénitas y del crecimiento: displasia y variantes normales.
- Enfermedades neurológicas: atropamiento, compresión, masas y neuritis periférica.

Una resonancia magnética de la cadera es un examen imagenológico en el que se utiliza una máquina con imanes y ondas de radio potentes para crear imágenes de la zona entre los huesos de la cadera. Esta parte del cuerpo se denomina zona pélvica.
Las estructuras dentro y cerca de la pelvis incluyen la vejiga, la próstata y otros órganos reproductores masculinos, los órganos reproductores femeninos, los ganglios linfáticos, el intestino grueso, el intestino delgado y los huesos de la pelvis.
RM de cadera en mujeres
Este examen puede hacerse si una mujer tiene cualquiera de los siguientes signos o síntomas:
- Sangrado vaginal anormal.
- Una masa en la pelvis (se siente durante un examen pélvico o se observa en otro examen imagenológico).
- Miomas.
- Una masa pélvica que ocurre durante el embarazo.
- Endometriosis (normalmente solo se hace después de un ultrasonido).
- Dolor en la parte baja del vientre (abdominal).
- Infertilidad inexplicable (normalmente solo se hace después de un ultrasonido).
- Dolor inexplicable en la pelvis (normalmente solo se hace después de un ultrasonido).

RM de cadera en hombres
Este examen puede hacerse si un hombre tiene cualquiera de los siguientes signos o síntomas:
- Protuberancias o hinchazón en los testículos o el escroto.
- Criptorquidia (no se puede ver usando un ultrasonido).
- Dolor abdominal bajo o dolor en la pelvis inexplicable
- Problemas inexplicables para orinar, entre ellos dificultad para empezar o detener la orina
Una resonancia magnética de la pelvis puede hacerse en hombres y mujeres que tengan:
- Hallazgos anormales en una radiografía de la pelvis.
- Defectos congénitos de las caderas.
- Lesión o traumatismo en la zona de la cadera.
- Dolor de cadera inexplicable.
Una resonancia magnética de la pelvis también se hace a menudo para ver si ciertos cánceres se han propagado a otras zonas del cuerpo. Esto se denomina estadificación. Esta ayuda a guiar el futuro tratamiento, el seguimiento y le da una idea de qué esperar en el futuro. Una resonancia magnética de la pelvis puede usarse para ayudar a estadificar los cánceres cervical, uterino, vesical, rectal, prostático y testicular.
Las enfermedades cardiovasculares constituyen unas de las principales causas de muerte.
Los especialistas ponen énfasis particular en el infarto agudo del miocardio, por lo que recomienda que se debe realizar un diagnóstico adecuado y a tiempo.
Los infartos ocurren cuando se disminuye o cesa la cantidad de sangre que irriga un área del corazón debido a la oclusión de una arteria coronaria. Esto disminuye la cantidad de oxígeno que llega a las células de ese tejido ocasionando en ellas un daño irreversible.
Si la zona afectada es pequeña y no se altera significativamente el funcionamiento del corazón, la supervivencia a largo plazo es mayor.

Para determinar la cantidad de tejido afectado y su localización, después de un infarto es importante establecer un pronóstico y poder ofrecer un tratamiento adecuado.
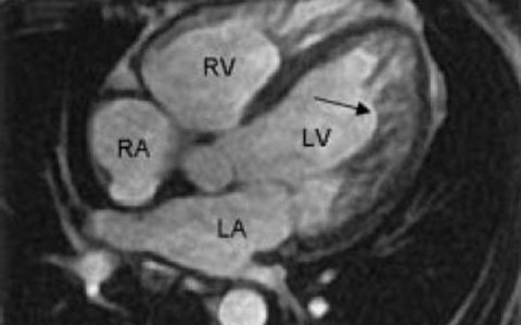
La Resonancia Magnética Cardíaca es un estudio radiológico no invasivo que se realiza para identificar el lugar específico y la cantidad de tejido afectado después de un infarto, además aporta información funcional y anatómica del corazón.
El estudio es considerado de elección para evaluar la función del corazón.
La Resonancia Magnética Cardíaca no emplea radiaciones ionizantes y es inocua para el paciente, aun así aporta información de gran utilidad, obteniéndose imágenes óptimas de la morfología del corazón, su capacidad de contracción y la perfusión o flujo sanguíneo al músculo cardíaco, todo en una misma exploración.
La resonancia magnética de la próstata emplea un campo magnético potente, pulsadas de radiofrecuencia y una computadora para crear imágenes detalladas de la glándula prostática.
La glándula prostática es parte del sistema reproductor masculino. Se encuentra delante del recto y debajo de la vejiga y rodea la primer parte de la uretra, el tubo que conecta la vejiga con la punta del pene, por donde sale del cuerpo la orina y otros líquidos. La próstata ayuda a formar el líquido lechoso llamado semen que transporta los espermatozoides fuera del cuerpo cuando el hombre eyacula.
La principal indicación para RM de la próstata es evaluación de cáncer de próstata. El examen se usa para evaluar la extensión del cáncer de próstata para así poder determinar si el cáncer está confinado a la próstata, o si se ha extendido fuera.

De vez en cuando, la RM de próstata se usa para evaluar otros problemas de próstata, incluyendo:
- Infección (prostatitis) o absceso de próstata.
- Agrandamiento de la próstata, denominada hiperplasia prostática benigna (HPB).
- Anormalidades congénitas.
- Complicaciones luego de una cirugía de pelvis.
Si una biopsia confirma cáncer, el médico podría utilizar la resonancia magnética u otras técnicas de diagnóstico por imágenes para determinar si el cáncer está limitado a la próstata, o si se ha extendido hacia fuera de las paredes de esta glándula.
La resonancia magnética de rodilla puede detectar cambios, lesiones en los tejidos o tumores en la rodilla.
En muchas ocasiones, la resonancia magnética proporciona información sobre las estructuras del cuerpo que no se pueden observar bien mediante otras técnicas de imagen como la radiografía, ecografía o tomografía axial computarizada (TAC): ligamentos, cartílagos, músculos o articulaciones.

La realización de una resonancia magnética de rodilla está indicada en los siguientes casos:
- Artritis y otros trastornos en las articulaciones.
- Fracturas.
- Infecciones.
- Problemas con implantes.
- Lesiones relacionadas con los deportes.
- Tumores.
- Cartílagos, ligamentos, tendones o meniscos dañados.
- Reducción del movimiento en la articulación de la rodilla.
- Acumulación de fluidos en la rodilla.
La resonancia magnética de tórax proporciona imágenes detalladas de estructuras de la cavidad torácica, incluyendo el mediastino, la pared torácica, la pleura, el corazón y los vasos. También proporciona imágenes secuenciales similares a las de una película del sistema cardiovascular.
La resonancia magnética de tórax de tórax se lleva a cabo para:
- Evaluar masas anormales, incluyendo el cáncer de pulmón u otros tejidos que no pueden evaluarse correctamente mediante otros métodos de diagnóstico por imágenes.
- Determinar el tamaño, la extensión el grado de propagación del tumor a las estructuras adyacentes.
- Evaluar la anatomía y función del corazón y las estructuras que lo componen (válvulas, etc.).
- Evaluar la perfusión miocárdica (flujo de sangre al corazón) y el infarto de miocardio.
- Determinar la dinámica del flujo sanguíneo en los vasos y en las cámaras del corazón.
- Visualizar los ganglios linfáticos y vasos sanguíneos, incluyendo malformaciones vasculares y linfáticas del tórax.
- Evaluar trastornos de los huesos del tórax y el tejido blando de la pared torácica.
- Evaluar la presencia de enfermedad pericárdica.
- Caracterizar lesiones mediastinas o pleurales observadas mediante otras modalidades de toma de imágenes.

La Resonancia Magnética fetal es una prueba diagnóstica que no utiliza radiación ionizante para obtener una imagen, si no el electromagnetismo, por lo tanto es un examen seguro e inofensivo. Los expertos destacan que es una prueba muy eficaz en el estudio de enfermedades cerebrales, de tórax, gastrointestinales o genitourinarias.
Habitualmente no se utiliza la resonancia magnética para seguir la evolución del feto durante el embarazo, esto se realiza a través de la ecografía, pero en ocasiones son necesarias imágenes con una claridad mayor, más nítida, con mayor campo de visión, en las que se puedan apreciar mejor los distintos tejidos. Por ejemplo en el caso de que sean necesarias cirugías fetales, manejos especiales posnatales o para detectar alteraciones sutiles o de gran complejidad. En este caso la RM es la mejor opción, según los expertos.
La RM fetal es muy útil para casos de obesidad materna, escasa cantidad de líquido amniótico o posición inadecuada del feto.

Clave para las embarazadas
La Resonancia Magnética fetal es superior a la ecografía en el estudio de la sustancia blanca del cerebro, así como en el diagnóstico de lesiones isquémicas agudas fetales. Además, es una prueba muy práctica para el estudio intrauterino del desarrollo cerebral del feto, ya que, al obtener la imagen de forma muy rápida, realiza biometría cerebral, análisis de desarrollo.
Las enfermedades o patologías más frecuentemente examinadas a través de la RM fetal son:
- La malformación adenomatoidea quística
- La hernia diafragmática congénita
- El secuestro broncopulmonar
- Las malformaciones genitourinarias, intestinales, de columna y masas fetales.
Los expertos recomiendan utilizar la Resonancia Magnética en mujeres embarazadas de más de veinte semanas, para que el feto tenga un tamaño lo suficientemente grande para poder obtener imágenes diagnósticas.
Esta prueba se realiza muy rápidamente, obteniendo una imagen clara y precisa del feto a pesar de estar en movimiento, sin que sea necesario sedar a su madre.
Imágenes Resonancia Magnética
Las imágenes de la resonancia magnética se denominan cortes. Son digitales y pueden guardarse y almacenarse en un ordenador para estudiarlas detalladamente o bien imprimirlas en una película. Un examen produce docenas o algunas veces cientos de imágenes. Algunos ejemplos son:
Beneficios de la Resonancia Magnética
Como ya hemos dicho, gracias a la resonancia magnética podemos obtener muchísima información de todo nuestro cuerpo. Muchas de las ventajas que obtenemos gracias a la resonancia magnética son:
- No usa radiaciones ionizantes.
- Hasta ahora, no se han encontrado efectos adversos.
- Tiene una excelente resolución de contraste de los diferentes tejidos y resolución anatómica, que permite la evaluación de estructuras muy pequeñas , que antes no eran visibles.
- Se pueden obtener imágenes en diferentes planos.
- Provee información del metabolismo y composición de los tejidos ( Resonancia Funcional)
- Tiene la posibilidad de hacer estudios vasculares sin aplicar material de contraste
- El material de contraste utilizado, el Gadolinio, no produce efectos adversos de consideración.
- Permite realizar imágenes de cuerpo entero.

Contraindicaciones de la Resonancia Magnética.
Con la evolución de las Resonancias Magnéticas las posibles contraindicaciones a la hora de realizarlas son mínimas, aunque cada estudio tiene sus peculiaridades, no es lo mismo hacer una RM de rodilla, una lumbar o una craneal, así que ante la duda pregunta en el centro médico cuando le den la cita y éstos le explicarán si necesita tener algún cuidado especial, según la zona donde se realizará la prueba.
Generalmente, se le pide al paciente que acuda en ayunas, por si hay que administrarle el contraste o la sedación. También hay que tener en cuenta si el paciente tiene alergia a algunos medicamentos o ha padecido enfermedades graves, y sobre todo si es portador de alguna prótesis o dispositivo electrónico.
Por eso, comunica al personal del centro si es portador de:
- Marcapaso cardíaco.
- Clips vasculares, metálicos.
- Prótesis vascular.
- Stent vascular.
- Desfibrilador cardiaco.
- Implante coclear.
- Prótesis ortopédicas.
- Fragmentos de metales en el cuerpo (proyectiles).
- Tatuajes (anteriormente la tinta contenía trazas de metales).
Esto se debe, mayormente, a que la Resonancia Magnética se basa en un potente imán y por eso se obliga al paciente a no portar ningún objeto metálico en la habitación, donde se realice la prueba, ya que pueden causar situaciones de gravedad al paciente y al personal médico.

Riesgos a una exposición prolongada
Mucho se habla de las contraindicaciones que llevaría una exposición prolongada pero diferentes expertos aseguran que el riesgo principalmente afecta al personal sanitario, ya que se exponen a bastante horas de trabajo. Aunque a día de hoy no existe ninguna evidencia que la exposición electromagnética conlleven contraindicaciones.
Otros riesgos, más frecuentes en los pacientes, son la sensación de claustrofobia, sensación de calor o sensación de hormigueo en la zona de estudio
Claustrofobia y Resonancia Magnética.
Uno de los principales problemas que tienen los pacientes a la hora de enfrentarse a una Resonancia Magnética es la sensación de claustrofobia que pueden padecer. A pesar de que no es mucha parte de la población quien sufre este desorden emocional, la claustrofobia y la resonancia magnética van de la mano. Se calcula que el 2,3% de las personas que se someten a una Resonancia Magnética lo padecen.
Gran parte de este temor viene dado de pacientes que antes de realizarse la Resonancia Magnética tienen amigos, familiares, compañeros de trabajo… que les han contado que se meten a una caja cerrada… en realidad no es una prueba que conlleve ningún riesgo, así que siguiendo unos simples consejos, las personas que sufren este desorden emocional superarán la prueba sin problema.

4 consejos para superar una RM:
- Infórmese bien de todo lo relacionada con la RM. Tipos, duración, máquinas etc.
- Use técnicas de relajación. Antes de realizar la prueba, practique en casa la relajación. Haga ejercicios que luego pueda efectuar durante la Resonancia Magnética y que le ayuden a pasar este mal rato.
- Trabaja en casa. Días antes de la prueba: visione videos, escuche música que le ayude a relajarle y trasládelo al día de la RM.
- Ojos cerrados. Durante la prueba la Resonancia Magnética mantenga los ojos cerrados y así no tomará conciencia de la situación.
Sin aún así cree que no superará la prueba pregunta en algunos de nuestros centros sobre la posibilidad de hacer una Resonancia Magnética Abierta. Un método que evita la sensación de claustrofobia, diseñado principalmente para extremidades inferiores y superiores y que cuenta con lo último en tecnología y que Grupo Scanner Vizcaya posee una, en su centro de Resonancia Magnética.







